Skip to content
About
Meet Dr. Kushagra Verma, M.D.
Meet Calvin Huang, PA-C
Cases
Global Outreach
Services & Conditions
Conditions
Back & Neck Pain
Herniated Disc
Sciatica Nerve Pain
Scoliosis
Shooting Pain
Treatments
Disc Replacement
Minimally Invasive Spine Surgery
Pediatric Spine
Revision Spine Surgery
Locations
Los Alamitos
Marina del Rey
San Pedro
Reviews
Resources
Podcast & Press
Blog
Surgery Tutorial
Contact
X
SHOP
Book Online
(562) 732-4578
Case Gallery
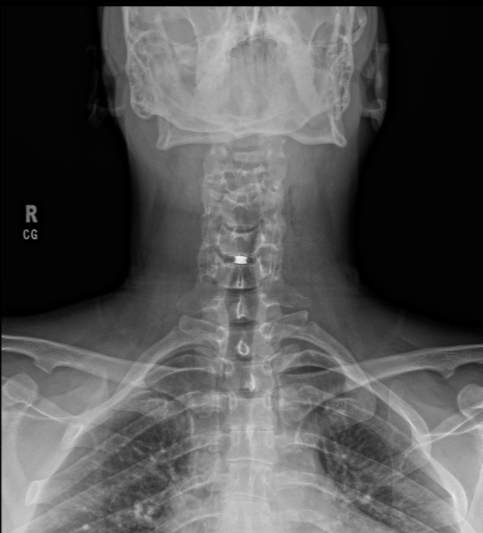
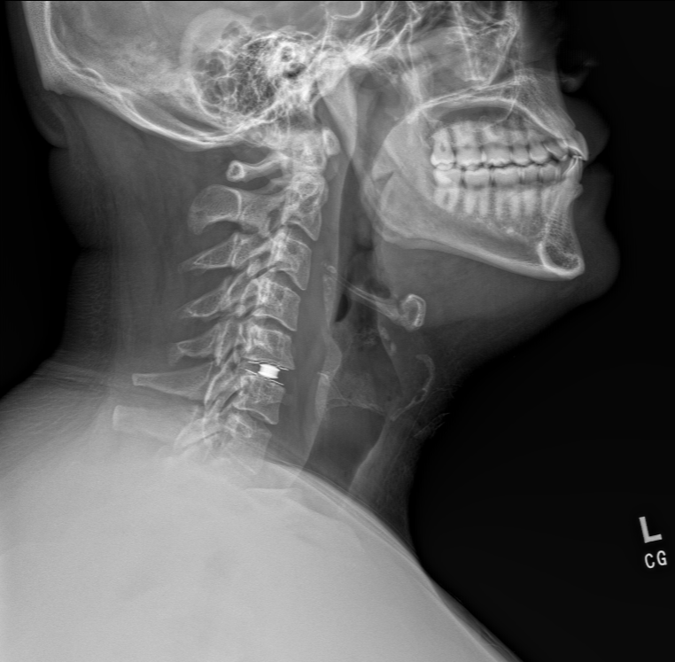
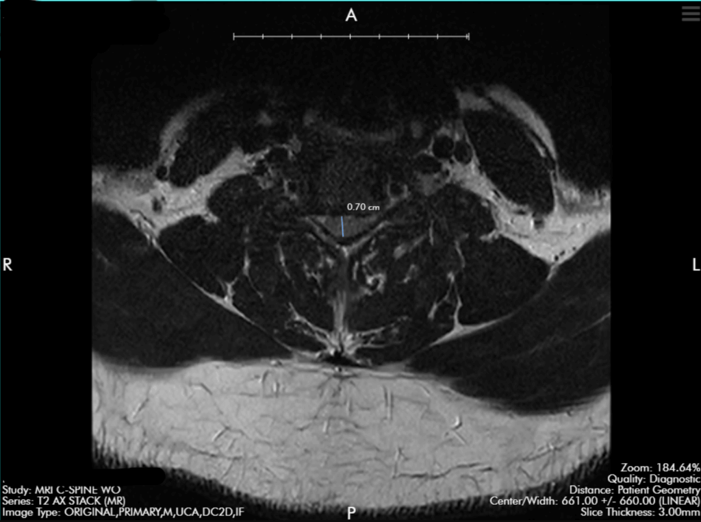
Anterior Cervical Disc Replacement
Lumbar Disc Replacement
Lumbar Spine Surgery
Cancer Spine Surgery
Scoliosis Surgery
Complex Deformity Surgery